
CT Scan
CT検査
最新CTによるスピーディな検査で正確な診断が可能
当院では、高性能CT(コンピュータ断層撮影)を用いた精密な画像診断を行っています。
CT検査は、身体の内部を立体的にとらえることができ、臓器や骨、血管の状態を詳しく確認することが可能です。
痛みや不快感がほとんどなく、短時間で撮影できるため、患者さまの負担も少ない検査です。
病気の早期発見から治療方針の決定まで、より正確な診断に役立つCT検査を、安心して受けていただける環境を整えています。

主に下記の画像診断を行っています
・頭部領域
・胸部領域
・腹部領域
・血管造営
・心臓冠動脈造影
最新型80列CT装置を使った検査例

頭部領域
頭部CT検査は、頭の中の淡い病気の変化を鮮明に写し出すことが可能です。
脳内の出血や交通事故などによる骨折の状態を素早く、詳細に調べることが可能です。

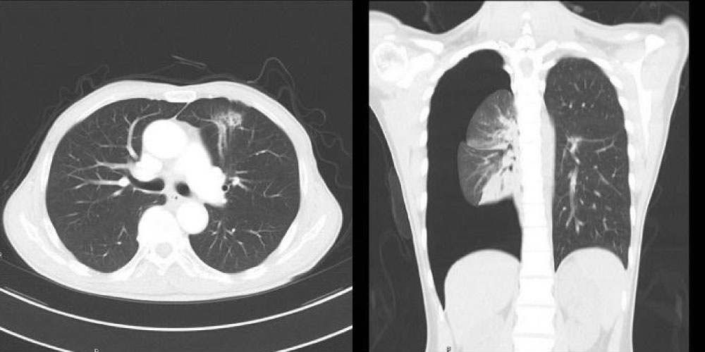
胸部領域
胸部CT検査は、肺や気管、気管支などの病変を見つけるために行なわれます。
最新型80列CT装置を導入により、短時間の息止めで撮影が可能です。
当院では最新鋭のマルチスライスCTを使用し、レントゲン写真では見つけにくい小さな病変も早期に発見することが可能になります。

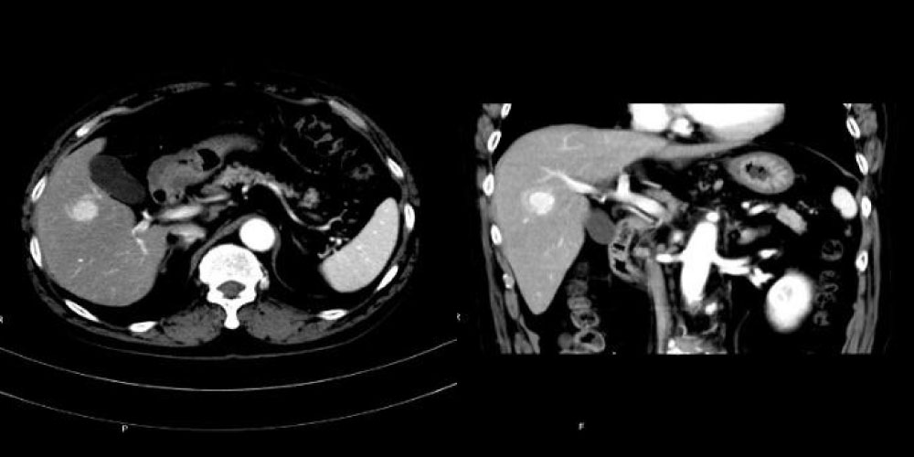
腹部領域
腹部CT検査は、臓器(肝臓、腎臓、膵臓など)や血管の状態を調べることが可能です。
急性腹症の原因や腫瘍性病変などの病気の性質を調べるため、造影剤を使用することもあります。

血管造影
造影剤を使用して血管を描出し状態を調べる検査で、当院では主に頭頸部血管や胸腹部血管を観察する為に行っています。
CT画像をコンピューター処理することにより、立体的な画像(3DCT)を作ることができます。
血管の形態が視覚的に理解でき、診断にも有用です。

心臓冠動脈造影
心臓には冠動脈と呼ばれる血管があり、この冠動脈の状態を検査する方法の一つに心臓CT検査があります。
冠動脈は微細かつとどまることなく常に動き続けており、冠動脈を静止画像として画像化することは非常に困難なことですが、当院の最新型80列CT装置では、高速での撮影かつ高精細な画像の撮影が可能なため、心臓においても他の動きのある臓器同様に動きやボケのない高画質な画像提供が可能です。
冠動脈が動脈硬化によって狭窄や閉塞を起こし、狭心症や心筋梗塞を発症します。
冠動脈血管の狭窄を起こす原因となる石灰化の有無などが評価ができ、血管の狭窄がある場合その狭窄の度合いも把握できます。
CT検査のご予約は
お電話にてご予約ください
0564-65-7240
〒444-0071
愛知県岡崎市稲熊町字森下28-1
第一駐車場は病院に隣接しております
第二・第三・第四駐車場はこちら
休診 | 木曜日・日曜日・祝祭日
初診の患者様へ
当クリニックは、予約制となっております。
当日お越しいただく場合でも、事前に電話予約をお願いいたします。
- 外来時間最終受付30分前
- 月
- 火
- 水
- 木
- 金
- 土
- 9:00 ~ 12:00
- ○
- ○
- ○
- ー
- ○
- ○
- 14:00 ~ 17:30
- ○
- ○
- ◎
- ー
- ○
- ○
- 人工透析8:00 ~
13:00 - ○
- ○
- ○
- ○
- ○
- ○
- 人工透析13:00 ~
22:00 - ○
- ー
- ○
- ー
- ○
- ー
◎ : 隔週水曜夜間外来(19:30まで)
人工透析の時間について
透析時間8:00~22:00(応相談)
※当クリニックでは、透析の時間帯は患者様の希望に合わせて設定しており明確な時間区分を設定しておりません。「お昼ご飯を食べてから透析がしたい」「仕事後の遅い時間に透析がしたい」と言う方々からご好評を頂いております。
ご希望の時間帯をスタッフまでご相談ください。
診療カレンダー
Calendar
休診日
夜間外来日
2026.01
- 月
- 火
- 水
- 木
- 金
- 土
- 日
- 1
- 2
- 3
- 4
- 5
- 6
- 7
- 8
- 9
- 10
- 11
- 12
- 13
- 14
- 15
- 16
- 17
- 18
- 19
- 20
- 21
- 22
- 23
- 24
- 25
- 26
- 27
- 28
- 29
- 30
- 31
2026.02
- 月
- 火
- 水
- 木
- 金
- 土
- 日
- 1
- 2
- 3
- 4
- 5
- 6
- 7
- 8
- 9
- 10
- 11
- 12
- 13
- 14
- 15
- 16
- 17
- 18
- 19
- 20
- 21
- 22
- 23
- 24
- 25
- 26
- 27
- 28
2026.03
- 月
- 火
- 水
- 木
- 金
- 土
- 日
- 1
- 2
- 3
- 4
- 5
- 6
- 7
- 8
- 9
- 10
- 11
- 12
- 13
- 14
- 15
- 16
- 17
- 18
- 19
- 20
- 21
- 22
- 23
- 24
- 25
- 26
- 27
- 28
- 29
- 30
- 31

採用情報
クリニック大倉ではスタッフを
募集しております。
ご応募お待ちしております。
採用情報


